CASE

症例集

症例集

Case

審美歯科の症例

症例(1)

審美歯科の体裁 症例(1)
審美歯科の体裁 症例(1)
審美歯科の体裁 症例(1)
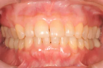
治療名称 コンポジットレジンによる前歯部カリエスの修復症例
総額 治療費用(税込) 105,600円
総 治療期間 2週間
患者の症状 以前、他医院にて治療した前歯の修復物が変色を起こし、当院にて治療を希望し来院
治療方法 既存のコンポジットレジンを除去後、カリエスを処置し、新たなコンポジットレジンにて修復した。
治療結果 上の前歯2本とも審美的な改善が達成され、患者様の満足を得ることができた。
リスク/副作用 メンテナンス不足による破損や変色

症例(2)

審美歯科の体裁 症例(2)
審美歯科の体裁 症例(2)
治療名称 矯正治療とラミネート治療による上顎前歯部の審美的な改善をした症例
総額 治療費用(税込) 356,700円
総 治療期間 2ヶ月
患者の症状 右上2の矮小歯、左上2の欠損、上顎11間の歯間空隙、これらの審美的な改善を希望され来院。
治療方法 矯正治療(部分矯正)により、11の歯間空隙を閉鎖し、右上2と左上3の形態を正常な2の形態に是正するために唇側にラミネートべニアを装着した。
治療結果 前歯部の審美的な改善は達成され、患者様より満足の結果を得られた感想いただいた。
リスク/副作用 メンテナンス不足による破損や変色

症例(3)

審美歯科の体裁 症例(3)
審美歯科の体裁 症例(3)
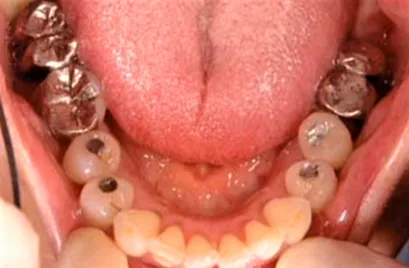
治療名称 臼歯部のカリエスをセラミックス修復することで審美的な改善を達成した症例
総額 治療費用(税込) 257,800円
総 治療期間 1ヶ月
患者の症状 他院にて修復した詰め物が脱離して冷水痛があったため当院での修復ができるか希望され来院。
治療方法 既存のセメントやカリエスを可及的に除去し、形態を整えセラミックス修復を完了した。
治療結果 歯の症状は消失し、審美的にも機能的にも満足のいく結果となった。
リスク/副作用 メンテナンス不足による破損や変色

矯正歯科の症例

症例(1)

矯正歯科 症例①治療前1
矯正歯科 症例①治療後1
矯正歯科 症例①治療前2
矯正歯科 症例①治療後2
矯正歯科 症例①治療前3
矯正歯科 症例①治療後3
矯正歯科 症例①治療前4
矯正歯科 症例①治療後4
矯正歯科 症例①治療前5
矯正歯科 症例①治療後5
治療名称 前歯の歯並びを矯正治療によって改善した症例
総額 治療費用(税込) 957,800円
総 治療期間 1年5ヶ月
患者の症状 上下の前歯を審美的に是正させたい希望があり来院。
治療方法 矯正治療のシミュレーションをした結果、小臼歯を抜歯し、ワイヤー矯正によって歯列を整えた。
治療結果 歯列の審美的な改善により、患者本人および保護者より満足の感想を得られた。
審美的な改善のみならず、発音・食事・衛生面の大きな改善が成し遂げられた。
リスク/副作用 矯正治療中の歯の痛み、軽い炎症、治療後の後戻り

症例(2)

矯正歯科 症例②治療前1
矯正歯科 症例②治療後1
矯正歯科 症例②治療前2
矯正歯科 症例②治療後2
矯正歯科 症例②治療前3
矯正歯科 症例②治療後3
矯正歯科 症例②治療前4
矯正歯科 症例②治療後4
矯正歯科 症例②治療前5
矯正歯科 症例②治療後5
治療名称 矯正治療による前歯の前突感と大きな隙間の改善症例
総額 治療費用(税込) 876,400円
総 治療期間 1年2ヶ月
患者の症状 審美的な問題と発音の問題を抱えており、歯並びの審美的な改善を希望して来院。
治療方法 上顎の歯列を側方に拡大し、ワイヤー矯正によって歯並びを審美的に改善した。
治療結果 審美的にも機能的にも改善され、患者様と保護者から満足の感想をいただいた。
また、主訴の発音の改善も見られた。
リスク/副作用 矯正治療中の歯の痛み、軽い炎症、治療後の後戻り

矯正歯科 症例3

初診時

矯正歯科 症例②治療前1
矯正歯科 症例②治療前2

挺出した上の臼歯部をTADにより、
上方へ圧下開始時

矯正歯科 症例②治療前2

上の歯の咬合平面を整え、
下の歯に冠を被せた時

矯正歯科 症例②治療前1
矯正歯科 症例②治療前2
治療名称 矯正治療による臼歯部を圧下した症例
総額 治療費用(税込) 237,000円
総 治療期間 5ヶ月
患者の症状 右下のカリエス処置を希望で来院されたが、診断の結果、
上の歯が突出しており、矯正治療によって改善した症例
治療方法 右上の挺出した歯をTADを応用して圧下し、咬合平面を整えて右下に適正な高さの冠をセットすることができた。
治療結果 機能していなかった右側の臼歯部を適正な咬合平面上に矯正治療によって移動することにより、機能面に大きな改善が認められた。
リスク/副作用 矯正治療中の歯の痛み、軽い炎症、治療後の後戻り

インプラントの症例

インプラント症例1

初診時

インプラント症例①のレントゲン
インプラント症例①のレントゲン

仮の歯を装着

インプラント症例①のレントゲン

セラミックスを装着

インプラント症例①のレントゲン
インプラント症例①のレントゲン
治療名称 破折した左上1番にインプラント治療した症例
総額 治療費用(税込) 523,500円
総 治療期間 4ヶ月
患者の症状 食事中に前歯が突然動き出し、診断の結果、歯の破損が原因であり、患者様よりインプラント治療を希望されました。
治療方法 歯根破折を起こした左上1番の歯に代わって、インプラント(人工の歯根)を埋入する治療を行いました。
その後、インプラントにはセラミックスの歯を被せることで、審美的にも機能的にも回復した。
治療結果 インプラント治療によって歯根破折を起こした歯を補うことでき、審美面・機能面に患者様より満足のご感想をいただいた。
リスク/副作用 出血、疼痛、インプラント周囲炎

インプラント症例2

初診時

インプラント症例②のレントゲン
インプラント症例②のレントゲン写真
インプラント症例②
インプラント症例②
インプラント症例②
インプラント症例② 前2

矯正治療終了時

インプラント症例②
インプラント症例②
インプラント症例②

インプラント治療と矯正治療、
歯周再生治療が終了し、
セラミックスをセット時

インプラント症例②のレントゲン
インプラント症例②のレントゲン写真
インプラント症例②
インプラント症例②
インプラント症例②
インプラント症例② 前2
治療名称 崩壊した臼歯部にインプラント治療、上顎前突を矯正治療した症例
総額 治療費用(税込) 3,208,000円
総 治療期間 2年3ヶ月
患者の症状 歯周病で骨が無くなった奥歯に強い痛みを感じており、インプラント治療を希望された。
まら、前歯が出っ歯であり、同時に矯正治療で審美的な改善を希望された。
治療方法 歯周病で歯の周りの骨を失った歯は抜歯して骨を再生し、インプラントを埋入した。
前歯の前突は全顎矯正にて審美的に改善した。その後、インプラントにはセラミックスを被せることでよく噛める状態を確立した。
治療結果 インプラントにセラミックスを被せることで、よく噛めるようになり、矯正治療によって前歯の前突も改善したことで、患者様からはよく噛めて綺麗になったと高い満足感の感想をいただいた。
リスク/副作用 出血、疼痛、インプラント周囲炎

インプラント症例3

初診時

インプラント症例②のレントゲン
インプラント症例②のレントゲン写真
インプラント症例②
インプラント症例②
インプラント症例②
インプラント症例② 前2

上顎の矯正治療前後の写真

(矯正治療前)
インプラント症例②のレントゲン
(矯正治療後)
インプラント症例②のレントゲン写真

インプラント治療と矯正治療、
歯周再生治療が終了し、
セラミックスをセット時

インプラント症例②のレントゲン
インプラント症例②のレントゲン写真
インプラント症例②
インプラント症例②
インプラント症例②
インプラント症例② 前2
治療名称 失われた臼歯部がインプラント治療により、噛めるようになった症例
総額 治療費用(税込) 3,455,700円
総 治療期間 2年8ヶ月
患者の症状 長年入れ歯で苦労してきた患者様がインプラント治療を希望され来院。
治療方法 下の歯がないところには、インプラントを埋入し、セラミックスを被せ、機能的にも審美的にも回復した。
下の奥歯が無いことにより、上の奥歯が突出したり、不正な歯の位置だったため、全顎矯正治療により、歯の並びを整え、良く噛める状態に回復した。
治療結果 インプラント治療と矯正治療により、審美的にも機能的にも大きな満足感を得ることができた。
リスク/副作用 出血、疼痛、インプラント周囲炎

インプラント治療4

初診時

インプラント症例②のレントゲン
インプラント症例②のレントゲン写真
インプラント症例②
インプラント症例②
インプラント症例②
インプラント症例② 前2

インプラントの仮の歯をセット時

インプラント症例②のレントゲン
インプラント症例②のレントゲン写真

最終的な上部構造をセットしたとき

インプラント症例②のレントゲン
治療名称 すべての歯を失っている上顎にインプラント治療による機能回復をした症例
総額 治療費用(税込) 8,540,630円
総 治療期間 2年3ヶ月
患者の症状 長年、上の総入れ歯で苦労していた患者様がインプラント治療を希望されて来院。
治療方法 すべての歯を失っていた上の顎と下の奥歯にインプラントを埋入し、セラミックスを被せることで機能的な回復をした。
治療結果 歯のない上の顎にインプラント治療をすることにより、総入れ歯から解放され、以前より審美的にも機能的にも改善した点、患者様からも大きな満足度を得られた感想いただいた。
リスク/副作用 出血、疼痛、インプラント周囲炎